鉄鋼材料の強さを決める因子鉄鋼材料の基礎知識(8)(3/3 ページ)

» 2026年03月11日 07時00分 公開
[ひろMONOist]
前のページへ 1|2|3       

鉄鋼材料の強さに影響する因子

 ここまで鉄鋼材料の強さの種類と、材質によって強さの性質や度合いが異なることについて説明しました。では材料中のどのような因子が強さに影響しているかというと、次の4因子が挙げられます。

  • 化学成分
  • 組織
  • 結晶粒径(りゅうけい)
  • 清浄度

化学成分とは

 化学成分とは、材料に含まれる元素の種類や量のことです。材料を構成しているものは元素であり、材料中にどのような元素がどのような割合で含まれるかは、その材料の性質を決める最も重要な因子であることは言うまでもありません。

 これまでにも説明しているように、鉄鋼材料には主要5元素として「炭素(C)」「ケイ素(Si)」「マンガン(Mn)」「リン(P)」「硫黄(S)」が含まれています。その他に「ニッケル(Ni)」「クロム(Cr)」「モリブデン(Mo)」などの合金元素が含まれている材料もあり、これらの元素の含有バランスによって材料の強さが決まります。

 特に炭素は、鉄鋼材料の強さに大きな影響を与える元素です。図10は、鋼の炭素量ごとの機械的性質を示しています。この図から、炭素量が多くなるにつれて硬さと強度(引張強さ、降伏強さ)が上昇することが分かります。逆に延性(伸び、絞り)と靭性(シャルピー衝撃値)は低下することが理解できます。

図10 鋼の炭素量ごとの機械的性質[参考文献2] 図10 鋼の炭素量ごとの機械的性質[参考文献2][クリックで拡大]

組織とは

 組織とは、材料内部で形成されている相(そう)の種類や形態のことです。鉄鋼材料は内部で組織を形成しており、組織は化学成分や熱処理条件に応じて変化します。

 鉄鋼材料の組織には「フェライト・パーライト組織」「マルテンサイト組織」「ベイナイト組織」などがあり、それぞれ異なる強さを示します。この中で最も高い強度を示す組織は、マルテンサイト組織となります。

図11 鉄鋼材料の各種組織[参考文献3〜6] 図11 鉄鋼材料の各種組織[参考文献3〜6][クリックで拡大]

 鉄鋼材料は化学成分が同じでも、熱処理によって組織が変化し、機械的性質も変わります。そのため、鉄鋼材料は各種強度を与えるために化学成分と熱処理によって組織が調整された材料であると言えます。なお、組織については前回の連載で詳しく説明していますので、そちらをご参照ください。

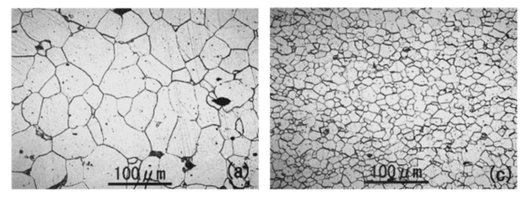
結晶粒径とは

 結晶粒径とは、1つの結晶粒の大きさのことです。鉄鋼材料は多結晶体であるため、内部ではいくつもの結晶粒がひしめき合っています。このとき、結晶粒の大きさ(すなわち結晶粒径)は材料の強さに影響することが知られています。

図12 粗大な結晶粒(左)と微細な結晶粒(右)[参考文献7] 図12 粗大な結晶粒(左)と微細な結晶粒(右)[参考文献7][クリックで拡大]

 一般的に、結晶粒径が小さいほど材料の強度が高くなります。この法則は「ホールペッチの法則」として知られており、次の式によって結晶粒径から降伏強さを推定できます。

               σy=σ0+Kd(-1/2)

 この式では、σy:降伏強さ、σ0:材料で決まる定数、K:材料で決まる定数、d:結晶粒径となります。

 なお結晶粒径は、材料が受けた加工サイクルや熱サイクルによって決まります。材料に圧延や鍛造などの熱間加工が施されると結晶粒の成長や再結晶が起こり、結晶粒径が変化していきます。焼なましや焼ならしなどの熱処理を施したときも同様のことが起こり、結晶粒径が変化します。このとき加熱温度が高かったり、加熱時間が長かったりすると結晶粒は粗大化し、強度が低下します。

清浄度とは

 清浄度とは、材料が汚染されていない度合いのことです。特に鉄鋼材料では、「非金属介在物の少なさ」を指します。

 非金属介在物とは、スラグや耐火物などに起因して材料内で生成された非金属の物質のことです。顕微鏡で観察すると粒子や棒状の様相をしており、明らかな異物として観察できます(図13参照)。非金属介在物の種類や発生メカニズムについてより詳しく知りたい方は、連載第5回をご参照ください。

図13 各種非金属介在物の顕微鏡写真[参考文献8] 図13 各種非金属介在物の顕微鏡写真[参考文献8][クリックで拡大]

 清浄度は、材料の靭性や疲労強度に影響することが知られています。非金属介在物は材料破壊の発生源となりやすく、清浄度が悪い(非金属介在物が多い)ほど材料の靭性や疲労強度が低下します。

 特に軸受鋼においては、製品寿命に与える影響が大きいとして清浄度が重要視されています。軸受内に非金属介在物があると、非金属介在物に応力集中してき裂が発生し、はく離を起こすからです。そのため軸受鋼は、精錬時に清浄度を向上させる対策が取られています。



 以上、鉄鋼材料の強さを決める因子について説明しました。これらは材料の安全性や信頼性にも関わる因子であり、材料を扱う技術者は理解が欠かせないと言えます。本連載の内容を少しでもご理解いただけたなら幸いです。次回は、鉄鋼材料の強化法について説明します。

⇒ 連載バックナンバーはこちら

筆者紹介

ひろ/ものづくりの解説書

鉄鋼品メーカーに勤務するものづくりエンジニア。入社以来、大型鉄鋼品の技術開発、品質保証、生産管理等の業務に携わってきた。自身が運営するWebサイト「ものづくりの解説書」では、ものづくり業界の魅力を発信する記事や技術解説記事などを公開している。


参考文献:

[1]疲労強度設計のための疲労の基礎、こべるにくす、No.57、2023年

[2]鋼材の基礎知識、コンクリート工学、17巻、7号、p.12、1979年

[3]No.1 フェライト組織

[4]II. 合金元素の役割、1. 主要5元素、特殊鋼、第68巻、第4号、p.10、2019年

[5]No.3 パーライト、顕微鏡組織標準試験片、山本科学工具研究社

[6]鋼の製造と性質、溶接学会誌、第77巻、第3号、p.39、2008年

[7]低炭素鋼の強度と降伏点現象に及ぼす結晶粒径と熱処理の影響、日本金属学会誌、第66巻、第5号、p.522、2002年

[8]藤木榮、金属材料・部品の損傷および破損原因と対策Q&A、日刊工業新聞、2011年


前のページへ 1|2|3       

Copyright © ITmedia, Inc. All Rights Reserved.

特別協賛PR
スポンサーからのお知らせPR
Pickup ContentsPR
Special SitePR
あなたにおすすめの記事PR