迅速で確実な診断を支援する超音波画像診断装置を発売医療機器ニュース

フィリップス・ジャパンは、超音波画像診断装置「EPIQ Elite Elevate」「EPIQ Affiniti Elevate」シリーズを発売した。新しい自動化機能と高度なアルゴリズムを搭載し、診断プロセスの効率化に寄与する。

» 2025年04月22日 15時00分 公開
[MONOist]

 フィリップス・ジャパンは2025年4月1日、新しい自動化機能と高度なアルゴリズムを搭載した超音波画像診断装置「EPIQ Elite Elevate」「EPIQ Affiniti Elevate」シリーズを発売した。

キャプション 「EPIQ Elite Elevate」「EPIQ Affiniti Elevate」シリーズの使用イメージ 出所:フィリップス・ジャパン

 両シリーズに搭載する自動画像調節ツール「AutoScan Assistant」は、腹部、血管、表在臓器、小児科、産婦人科領域、造影エコーなど、さまざまな検査における100以上のプリセットで、高精細な画像処理と直感的なワークフローを可能にする。ピクセル単位の最適化アルゴリズム「Next Generation AutoSCAN」や、深さ方向の自動輝度調整機能「AutoSCAN Penetration」により、ボタン操作を最大54%削減するなど、手動調整の手間を軽減する。

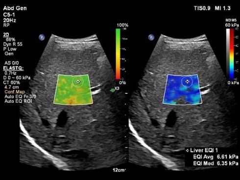
 「ElastQ」は、非侵襲的に組織の硬さを評価する技術「Share Wave Elastography」を用いて肝臓の硬さを計測するアプリケーションだ。新たに追加した自動化機能は、計測に適したフレームやROIポジションを自動で判別し、計測結果を表示する。この機能により、検査時間が最大60%短縮し、99%の再現性が示された。

キャプション 「Auto ElastQ」による肝硬度の自動計測 出所:フィリップス・ジャパン

 ワークフローを効率化するため、検査中の画像最適化にかかる時間を短縮する「Quick Launchプリセット」を搭載した。また、直観的なアノテーション作業ができる「Color Coded Annotation」や、ユーザーが作成した体表マーカー情報をシステムに取り込む機能を追加した。

 EPIQ Elite Elevateには、循環器向け超音波診断装置「EPIQ/Affiniti CVx Transcend」シリーズのAI(人工知能)技術を搭載しており、検査を自動化して効率を向上させる他、複雑な解析の客観的評価をサポートする。SHD(Structural Heart Disease、構造的心疾患)領域での活用が期待される、細径3D経食道トランスデューサー「X11-4t」も新たに搭載した。

キャプション 左:循環器領域のAI機能「Auto Segmental Wall Motion Scoring」、右:細径3D経食道トランスデューサー「X11-4t」[クリックで拡大] 出所:フィリップス・ジャパン

Copyright © ITmedia, Inc. All Rights Reserved.

特別協賛PR
スポンサーからのお知らせPR
Pickup ContentsPR
Special SitePR
あなたにおすすめの記事PR