CT画像上で脳脊髄液腔を抽出する診断支援AI技術を開発医療機器ニュース

富士フイルムと名古屋市立大学は、頭部CT画像から脳脊髄液腔の各領域を自動で抽出するAI技術を共同開発した。早期発見が重要となる、特発性正常圧水頭症の診断精度向上を目的としたものだ。

» 2026年01月22日 15時00分 公開
[MONOist]

 富士フイルムは2025年12月22日、名古屋市立大学と共同で、頭部CT画像上で脳脊髄液腔の各領域を抽出するAI(人工知能)技術を開発したと発表した。2024年に両者が共同発表したMRI画像向けの技術を発展させたもので、CT検査でも領域抽出を可能にする。これにより、歩行障害や認知障害を引き起こすハキム病(特発性正常圧水頭症:iNPH)の早期発見と診断精度の向上が期待される。

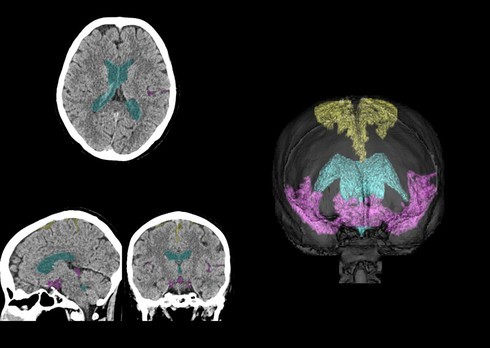
キャプション CT画像上で脳脊髄液腔の各領域を抽出した例[クリックで拡大] 出所:富士フイルム

 脳脊髄液の貯留により脳を圧迫するハキム病は脳萎縮との判別が難しく、判別にはくも膜下腔の不均衡分布(DESH)の評価が不可欠だ。今回開発した技術は、高位円蓋部や脳室などDESHに関係する各領域を抽出し、それぞれの体積や領域間の体積比を算出することで、客観的なDESHの判定を支援する。

 同技術の開発には、富士フイルムのクラウド型AI技術開発支援サービス「SYNAPSE Creative Space」を活用した。同サービスは、プログラミングの専門知識がない医師でも効率的なアノテーションやAI技術の試行などが可能だ。

 ハキム病は、歩行障害や認知障害などの症状を呈する高齢者に多い進行性の疾患だ。脳内の脳脊髄液を排除することで症状改善が期待できるが、進行してから治療をしても自立した生活を取り戻すのは難しい。これまでDESH評価は医師の主観に依存していたため、医師により判定が異なるという課題があった。今回のCT画像への対応により、転倒による頭部打撲などで受診した際の検査画像から、ハキム病の兆候を偶然発見できる可能性も高まるという。

 富士フイルムは今後、同技術を搭載した製品の速やかな市場導入を進めるとともに、画像診断支援AI技術の開発を通じて医療の質向上に貢献する方針だ。

⇒その他の「医療機器ニュース」の記事はこちら

Copyright © ITmedia, Inc. All Rights Reserved.

特別協賛PR
スポンサーからのお知らせPR
Pickup ContentsPR
Special SitePR
あなたにおすすめの記事PR